In October of 2013, at the age of 35, I was diagnosed with cancer. In May of 2015, I was miraculously healed.
I am a Christian and a physician. I first met Jesus as a premed student majoring in chemistry at Loyola University Chicago. Some friends of mine had lives that were qualitatively different than mine. The difference, I discovered, was that they knew God in a meaningful way. These friends showed me how I, too, could have that kind of relationship with God through Jesus. After college I earned my M.D. and then trained as a family physician. My husband (also a family physician) and I spent two years working in an underserved area in Tennessee, and then spent four years overseas in Nepal as medical missionaries.
We were in the US in 2013 for a one year home assignment when I began to have abdominal pain. After four days the pain went from bothersome to excruciating. We went to the emergency room at a local hospital, and were shocked when a CT scan showed numerous masses and enlarged lymph nodes throughout my abdomen. Within days we found out that I had cancer.
I was transferred to one of the top cancer centers in the country. Biopsies of the cancer showed cells that were so different from normal cells in the body that my doctors could not determine where the cancer had originated from. Over the next two weeks the cancer cells multiplied at an alarming rate. The masses were growing, my pain was worsening, and there was no time to waste. My oncologist proposed an aggressive chemotherapy regimen to combat this aggressive cancer. Yet she quietly, soberly told us, “We don’t know if we can cure this.”
We and many other followers of Jesus prayed to God. We knew from our years of following God that he is a living God who is actively involved in our lives, and who loves us. Who hears our prayers and answers us. So we prayed for God to heal me with all of that in mind and heart. I started chemotherapy. After a month, my oncologist ordered another CT scan to see what effect the treatment had, if any at all. To everyone’s surprise, all of the cancer that was previously seen on my scans was completely gone. This was beyond what any of my doctors expected to happen. We were thrilled, relieved, and thankful to God for saving my life.
In spite of this amazing news, I continued on with chemotherapy. I was young, the cancer had been aggressive, and we still did not have a diagnosis. After nine months of chemo I was finally done. Several months later, however, I began to have pain again. More scans and tests were done – we were all shocked to find out that I had endometrial cancer (cancer of the womb). This is a cancer that young women almost never have. I had to have major surgery. Further testing showed that this cancer looked completely different from the first cancer from a year prior. No one could explain how or why, but it looked like I had two different types of cancer – a cancer of unknown primary, and endometrial cancer.
After surgery in November of 2014, I continued to have follow-up CT scans every 3 months. In April of 2015 a CT of my chest showed an enlarged lymph node near my lung. More scans and then a biopsy confirmed our worst nightmare – cancer, again. After nine months of a brutal chemotherapy regimen, and then surgery… this cancer would just not go away. We could not escape.
I was scared, confused, and angry at God. I could not understand what was happening and why. Hadn’t I been through enough? Why me? We were utterly devastated. As a physician, I knew what this recurrence meant for my prognosis. Hope was slipping away.
We shared the news with the many people who had been praying, knowing we desperately needed prayer once again. The day after we broke the news I received a text from one of our pastors, who had been praying for me since the beginning. She and three other people from my church had visited me to pray to God for healing shortly after I was first diagnosed in 2013. As they drove away from my house that afternoon, they all had an inward assurance that God was saying yes, I am going to heal Ruth. Despite all that had happened between then and this moment, my pastor stood firm on that assurance. The text read, “I know that it is not rational but I still believe God has healed you.” I sat there, numb and weary – yet reminded by her that all hope was not lost. God was still God. I was angry, and hurt, and confused, but God was still God, he still loved me, and I needed him. The next morning I texted back. “I believe.”
I asked my pastor and another one of the women if they could come again to pray. On the way to my house, they prayed in preparation for our time together. During this time they both had this strong sense that God had already done it. When we met together they asked me a few questions and shared some passages of Scripture with me. I expressed to them a longing for God to heal me of cancer. They prayed over me and anointed me with oil, in obedience to the Scriptures. They told me that God had healed me and advised me to pray prayers of thanksgiving for my healing, so that my mind, too, would believe.
I wish I could say that I took their word in faith, but I had a really hard time believing them. On one hand, I believed in a God who is living and active in this world, and I so badly wanted him to heal me completely and for all this to happen. On the other hand, I am a physician in the 21st century. I had studied the composition and properties of matter for four years as a chemistry major, and had studied the human body, health, and disease for seven years to become a physician. I knew what the body could and could not do. I wondered if this was all wishful thinking. So I prayed, God, if you are really going to do this, please give me a sign. I am having a hard time believing this and I need some confirmation.
A few days later, I had a strong sense that I needed to go into my room to pray. I went to my room, closed the door, and knelt down on the floor. I opened my Bible to Luke 11:9-13. The words of verse 13 jumped off the page. “How much more will your Father in heaven give the Holy Spirit to those who ask him!” Now, to be clear, I wanted God to give me healing. But here Jesus said to ask God for the Holy Spirit, and at this moment I sensed that this was what he was asking of me. So as I knelt there on the ground, I prayed to God for more of the Holy Spirit. It was a deep heart cry, asking the Holy Spirit to come. And the Holy Spirit suddenly, unexpectedly knocked me to the ground. It’s difficult to explain how it felt, other than that a force outside of myself flipped me onto my back. I was on my back, lying on the floor, shocked. I had never had an experience like this before, and had previously doubted stories of this happening to other people – but I immediately knew that this was the sign I had asked God for. Mercifully, he answered the prayer of his doubting child.
Meanwhile doctors at two different medical centers had determined that the cancer in this lymph node had features of both the first and second cancers. At long last, a diagnosis was coming into focus – metastatic endometrial cancer that had significant variation within it. There were parts of the tumor that were garden-variety endometrial cancer, and that was what they found when I had surgery in 2014. Then there were other parts of the tumor that were made up of cancer cells that hid their tracks and didn’t follow any rules. Those parts of the tumor were what had metastasized – into my abdomen in 2013, and then again into the lymph node in my lung in 2015. With all this in mind, the treatment my doctors proposed was chemotherapy. I asked my doctors for another CT scan. I did not tell them what had happened and that I believed that God had healed me – I didn’t think they would understand. I didn’t feel, however, that I could refuse chemo without having some visible proof (for both my doctors, and to be honest, myself) that the cancer was gone.
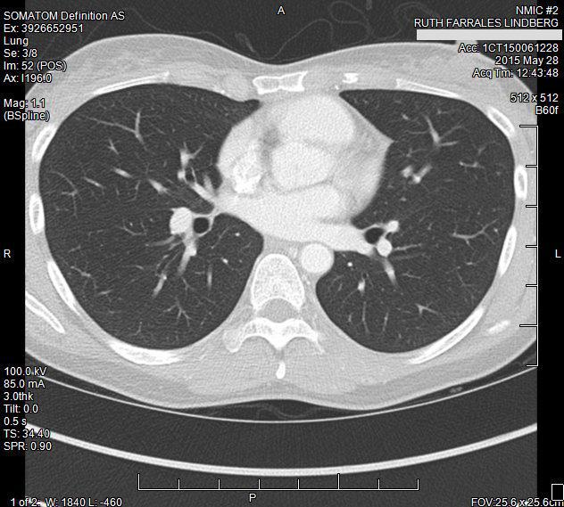
I had another CT scan at the end of May 2015. This was a month and a half after the CT scan which had showed the recurrence. This is a screenshot of the CT which showed the cancerous lymph node:

And this is the CT which showed that God had indeed healed me:

The lymph node is completely back to normal size and appearance. The cancer had completely disappeared.
My doctors could not explain what had happened, but were all in agreement that no treatment was now necessary, since there was nothing there to treat. Since then I have had several follow-up CT scans which have all been completely negative for cancer.
It was Jesus, the Son of God, who healed me. Just like he healed so many people when he was here on this earth 2000 years ago. And he is the same, yesterday, today, and forever. All of what I have shared here is what actually happened – there is no need to embellish when the true story is like this – and can be testified to by many witnesses.
I kept a CaringBridge site when I was sick, which I will keep online as long as they let me, at caringbridge.org/visit/ruthlindberg.